L‘ estetica inizia dalla posizione dei denti.
Lungo percorso formativo con la Tweed Society for Orthodontic Research. Socio fondatore di FaceXP, un gruppo di ortodontisti con presenza nazionale e internazionale.
Il trattamento avviene con apparecchio visibile o invisibile. Un allineamento dei denti è possibile a qualsiasi età.
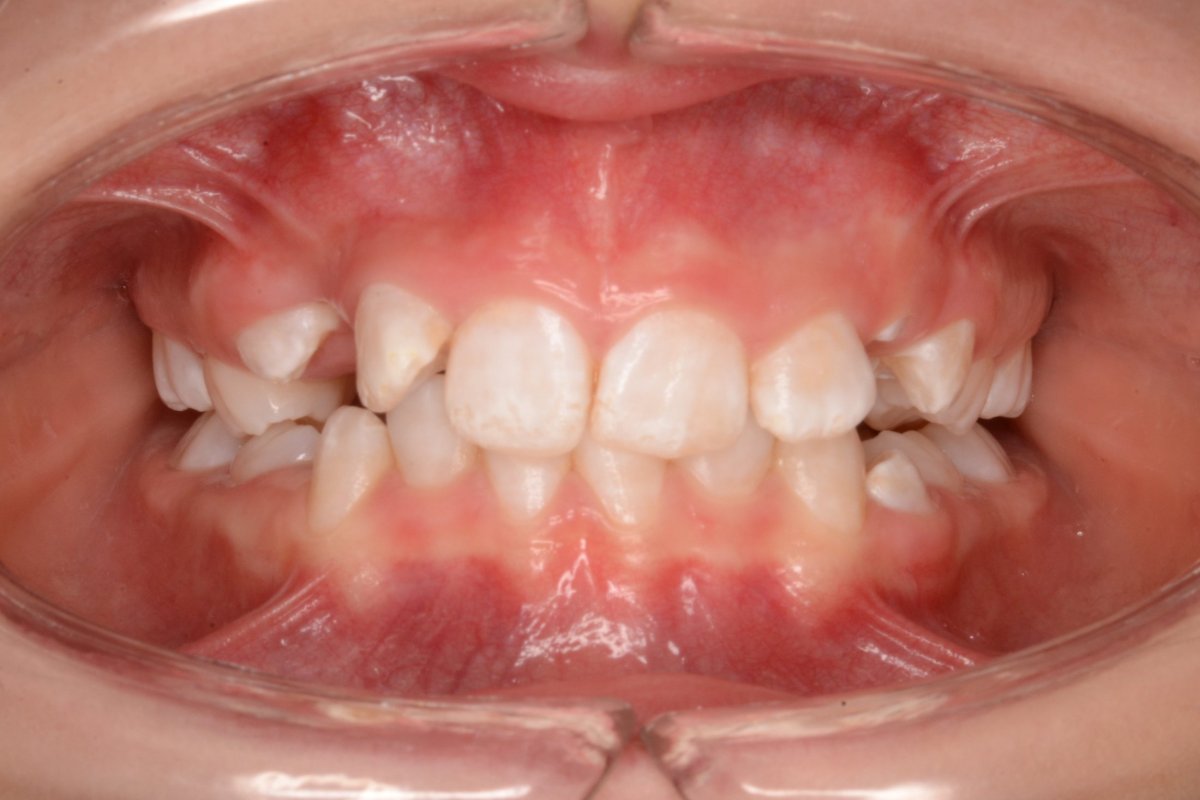
La prima visita avviene a 4 anni, e guardiamo la situazione nel suo insieme. Nel bambino riconosciamo diversi tipi di crescita e vediamo se è necessario un trattamento intercettivo, oppure se conviene aspettare la permuta. Accompagniamo i nostri piccoli pazienti durante la crescita. Quando sono erotti tutti i denti permanenti è possibile con l ortodonzia stabilire una occlusione normale, stabile ed estetica.
Nel paziente adulto si raggiunge una posizione ottimale, avvalendosi anche della protesi, digital smile design e/o della chirurgia maxillo-facciale. Con l'aiuto dell'intelligenza artificiale è possibile simulare il risultato del trattamento.
Prima di iniziare qualsiasi trattamento eseguiamo una documentazione professionale. Con una check-list delle dimensioni facciali si registra la posizione dei denti nel viso. Inoltre vengono allestiti modelli studio (eventualmente in modo virtuale con Scan 3D), foto digitali, teleradiografia laterale ed Rx panoramica - qualora necessaria anche una cone beam.
In caso di disgnazie importanti è prevista la collaborazione con cliniche universitarie per un trattamento combinato ortodontico-chirurgico.
Apparecchio visibile secondo la tecnica FaceXP
L‘ apparecchio fisso si avvale di brackets autoleganti in metallo, su richiesta anche in titanio o ceramica. Queste piastrine vengono fissate ai denti con un adesivo sintetico e collegati da un arco in metallo.
La durata del trattamento varia dai 18 mesi ai 3 anni e può essere in 1 o 2 fasi.
Apparecchio Invisibile
Gli apparecchi invisibili, i cosiddetti allineatori, sono mascherine di resina trasparente che possono allineare i denti in modo dolce e confortevole, quando essi sono affollati, presentano una malposizione o spaziature. Von Invisalign, il leader mondiale degli allineatori invisibili, la terapia procede in modo discreto, rapido e senza restrizioni nella vita quotidiana.
Con lo Scanner 3D otteniamo un’impronta digitale 3D precisa dei Vostri denti, in base a questa si imposta un piano di trattamento individualizzato con un numero di allineatori che vanno cambiati ogni 10 giorni.
Dispositivo antirussamento (OSAS), Somnodent
Disturbi del sonno, russamento, apnee notturne portano ad una sensazione di stanchezza e sonnolenza diurna. Il motivo è un insufficiente rapporto di ossigeno a causa di un'ostruzione delle vie aeree superiori durante la notte. Dopo un'adeguata diagnosi (polisomnografia) in collaborazione con specialisti in otorinolaringoiatria offriamo un dispositivo antirussamento. L'apparecchio Somnodent è l'unico certificato sia negli Stati Uniti (FDA) che in Europa (norme CEE). È un dispositivo rimovibile per la notte.
Grazie al rivestimento morbido i denti vengono avvolti in modo delicato, confortevole e preciso.
Portando in avanti la mandibola si dilatano gli spazi aerei posteriori ed è possibile un migliore apporto di ossigeno durante la notte.
